邑楽郡大泉町のけやき接骨院と骨折のその後
query_builder
2021/03/12
ブログ
群馬県邑楽郡大泉町の『けやき接骨院』です。
以前のブログで、
2枚目の写真、骨折して手術をして、プレートとボルトで固定したエックス線(レントゲン)写真。
その後に、
3枚目の写真、手術をして取り外した、プレートとボルトの写真。
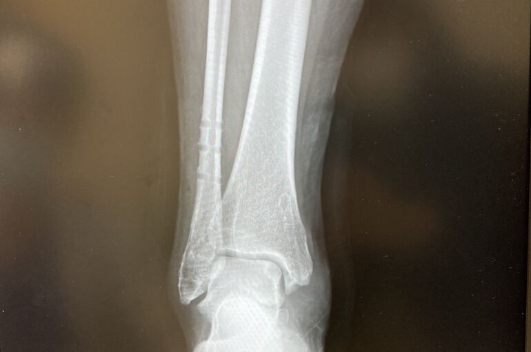
そして今日は、
1枚目の写真、プレートとボルトを取り除いた、エックス線(レントゲン)写真。
患者さんに許可を得て、写真を掲載させていただいております。
非常に貴重なものだと思います。
2枚目と3枚目の写真は以前にも、こちらのブログでも載せたのですが、
1枚目は今回のブログが初めての掲載です。
骨のところに、はっきりとボルトの後が、残っているのがわかります。
整形外科などに勤務していると、骨折をした直後のエックス線写真などを、見る機会はありますが、その後の経過を追って見ることって意外と難しいかもしれません。
特に手術をして他の病院などに行ってしまうと、なおさらです。
貴重なお写真をありがとうございました。
けやき接骨院でした。
NEW
-
query_builder 2026/04/09
-
大泉町のけやき接骨院の年末年始のお知らせ(2025~2026)
query_builder 2025/12/13 -
Xmasコフレ2025🎄
query_builder 2025/12/09 -
大泉町のけやき接骨院とベレガ東京
query_builder 2025/11/21 -
大泉町のけやき接骨院と大泉町保健福祉まつり&防災フェア
query_builder 2025/11/16
CATEGORY
ARCHIVE
- 2026/041
- 2025/122
- 2025/112
- 2025/103
- 2025/093
- 2025/082
- 2025/073
- 2025/061
- 2025/051
- 2025/041
- 2025/031
- 2025/021
- 2024/122
- 2024/111
- 2024/102
- 2024/091
- 2024/072
- 2024/061
- 2024/051
- 2024/042
- 2024/023
- 2024/015
- 2023/121
- 2023/111
- 2023/091
- 2023/081
- 2023/041
- 2023/011
- 2022/121
- 2022/101
- 2022/091
- 2022/081
- 2022/071
- 2022/0610
- 2022/0511
- 2022/047
- 2022/036
- 2022/023
- 2022/011
- 2021/126
- 2021/117
- 2021/1013
- 2021/095
- 2021/085
- 2021/0712
- 2021/0625
- 2021/0531
- 2021/0430
- 2021/0331
- 2021/0228
- 2021/0131
- 2020/1230
- 2020/1130
- 2020/1031
- 2020/0930
- 2020/0831
- 2020/0719
- 2020/062